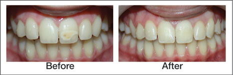
What is tooth bonding?

Bonding is a composite resin filling placed in the back teeth as well as the front teeth. Composites are an easy way to restore, re-color and reshape teeth. Bonding will lighten any stains you may have, close up minor gaps and can be used to correct crooked teeth.

Basically, bonding will cover any natural flaws through the application of a thin coating of plastic material on the front surface of your teeth. Your cosmetic dentist will apply a bonding material and sculpt, color, and shape it to provide a pleasing result. A high-intensity light then hardens the plastic, and the surface is finely polished.

How long does tooth bonding last?

Composite bonds should last about seven to eleven years. In comparison, a traditional silver filling lasts about seven years.

Types of Tooth Bonding Procedures

There are two types of bonding. What type is indicated in your situation depends upon whether you have a small or large area requiring correction.


For small corrections
These are one appointment fillings which are color-matched to the tooth and are bonded to the surface for added strength. These are most appropriate for small fillings and front.


For larger corrections
Dental lab-created tooth-colored fillings require two appointments and involve making a mold of your teeth and placing a temporary filling. A dental laboratory then creates a very durable filling to custom-fit the mold made from your teeth. These fillings are typically made of porcelain. The custom-fit filling is then bonded to your tooth on your return visit. These are even more natural looking, durable and stain resistant then composites.

How is Tooth Bonding Accomplished?

A very mild etching solution is applied to your teeth to create very small crevices in the tooth's enamel structure. These small crevices provide a slightly rough surface permitting a durable resin to bond materials to your teeth. The resin is then placed on your tooth and high-intensity light cures the resins onto your tooth's surface in just minutes. The bonded material is then sculpted to fit your tooth and finely polished.

Who is a candidate for tooth bonding?

If you have crowded, gapped, chipped or cracked teeth, you may be a candidate for bonding. Bonding can also be used for patients with discolored, uneven teeth, gum recession or tooth decay. Bonding material is porous, so smokers will find that their bonding will yellow.

Pros and Cons of Tooth Bonding


Advantages

Esthetically, composite bonding is far superior to silver fillings. As silver does not stick to teeth, healthy tooth structure is usually removed to keep a silver filling in place. Composites permit your cosmetic dentist to remove only the decayed area of your tooth. Unlike silver fillings, composite bonds expand just like your teeth and are much less likely to cause cracks in your tooth. Composites, because they bond directly to the tooth provides support and can actually strengthen your tooth. Composites can be used to fill in cracks, chips and gaps - and will match the color of your other teeth.


Disadvantages of Dental Bonding:

Some of the disadvantages of dental bonding are mentioned below in detail:


Different Risks Involve in Tooth Bonding:
The tooth bonding of composite resin is not much strong as the natural teeth. So if some one is habitual of fingernails biting or chewing backside of pen, pencils or chewing hard stuff like ice can damage the bond material. The tooth bonding long last for few years but you can increase it long lasting by make it repair from your dentist. Normally the long lasting of tooth bonding depends on how much the bonding strongly fixes on your tooth.


Care of Dental Bonding:
Keep your teeth clean by brushing them daily and use dental floss. Avoid eating sweets and hard foodstuffs. For long last the hold of bonding material your teeth should remain clean.


If your tooth bonding is done broadly then you require maintenance by professionals. Make your teeth clean by hygienist skilled person at least 3 to 4 times in a year because this maintenance of bonding long last your tooth bonding and make better its look.


Avoid drinking alcohol and caffeine added drinks because such beverages make the dental bonding worse time by time. Smoking cigarettes and drinking coffee and tea stain your teeth and also tooth bonding.


Using of toothpaste doesn’t harm your tooth bonding but also it is not much effective. If you use hard toothbrush it can harm your tooth bonding. If your tooth bonding is done in small parts of tooth then this type of care is not much necessary but if dental bonding is done broadly on your teeth then you should do extra care of your teeth.